| UNIPROT | P06400 |
| Иммуноген | Очищенный фрагмент рекомбинантного белка human RB экспрессированный в E. Coli |
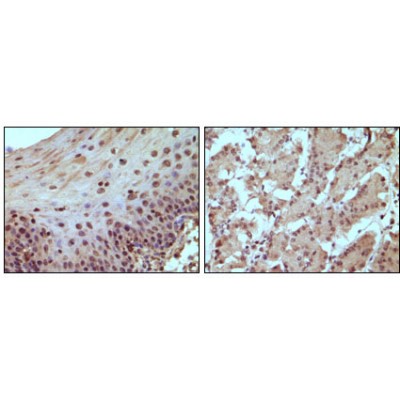
RB Antibody (BF0614)
Реактивность подтвержденная:
человек
Источник (хозяин):
мышь
Валидировано для:
ELISA
IHC
IF
ICC
Характеристики
Техническое описание
| Каталожный номер | BF0614 |
| Название антигена | Retinoblastoma Protein 1 (RB1) |
| UNIPROT | P06400 |
| Иммуноген | Очищенный фрагмент рекомбинантного белка human RB экспрессированный в E. Coli |
| Английские синонимы | OSRC, PRB, p105-Rb, pp110, Including Osteosarcoma, Retinoblastoma-associated protein |
Реактивность подтвержденная Нужна другая реактивность? |
человек |
| Источник (хозяин) | мышь |
| Изотип | IgG1 |
| Клональность | моноклональное |
| Клон | AFB1531 |
| Рекомбинантное | нет |
| Готовое к использованию | нет |
| Концентрация | 1 мг/мл |
| Конъюгат | нет |
| Валидировано для | ELISA IHC IF ICC Иммуноферментный анализ; Иммуногистохимия; Иммунофлуоресценция; Иммуноцитохимия |
| Рекомендуемые разведения | ELISA: 1:10000; IHC: 1:200-1:1000; IF/ICC: 1:100-1:500; Оптимальное разведение определяется конечным потребителем |
| Метод очистки | Аффинная хроматография |
| Состав буфера | Mouse IgG1 в PBS (без Mg2+ и Ca2+); pH 7.4; 150mM NaCl; 0.02% азид натрия и 50% глицерин |
| RRID | AB_2833556 |
| Условия доставки | Термобокс с аккумуляторами холода |
| Условия хранения | Хранить при -20ºС. Стабилен 12 месяцев с даты получения |
| Срок хранения | 12 месяцев |
| Производитель | Affinity |
| Ссылка на страницу товара на сайте производителя | https://www.affbiotech.com/goods-297-BF0614-RB_Antibody.html |
|
Артикул
|
Наименование |
Производитель
|
|---|
|
Артикул
|
Наименование |
Производитель
|
|---|
|
Артикул
|
Наименование |
Производитель
|
|---|
|
Артикул
|
Наименование |
Производитель
|
|---|
|
Артикул
|
Наименование |
Производитель
|
|---|
|
Артикул
|
Наименование |
Производитель
|
|---|
|
Артикул
|
Наименование |
Производитель
|
|---|
Акции и предложения
Популярные продукты:
Monkey Adipsin ELISA kit (E09A1811)
Организм: обезьяна
Monkey Immunoglobulin A ELISA kit (E09I0021)
Организм: обезьяна
Anti-Mouse EFNA1 Polyclonal Antibody (PMD42701)
Источник (хозяин): кролик
Реактивность подтвержденная: мышь
Валидировано для: ELISA, IHC, WB
Реактивность подтвержденная: мышь
Валидировано для: ELISA, IHC, WB
Anti-RB1 Polyclonal Antibody (PHC19901)
Источник (хозяин): кролик
Реактивность подтвержденная: человек, мышь, крыса
Валидировано для: ELISA, IHC, WB
Реактивность подтвержденная: человек, мышь, крыса
Валидировано для: ELISA, IHC, WB
Anti-Human NCK2 Polyclonal Antibody (PHA73401)
Источник (хозяин): кролик
Реактивность подтвержденная: человек
Валидировано для: ELISA, IHC, WB
Реактивность подтвержденная: человек
Валидировано для: ELISA, IHC, WB
LDHAL6B Polyclonal Antibody (E-AB-65158)
Источник (хозяин): кролик
Реактивность подтвержденная: мышь, крыса
Валидировано для: IF, WB
Реактивность подтвержденная: мышь, крыса
Валидировано для: IF, WB

