Ваш браузер устарел и не обеспечивает полноценную и безопасную работу с сайтом. Пожалуйста обновите браузер чтобы улучшить взаимодействие с сайтом.
Мы обновили сайт, попробуйте новые функции в личном кабинете!

+7 (495) 798-02-48

SETD7 Antibody (DF8349)

Реактивность подтвержденная: человек, мышь
Источник (хозяин): кролик
Валидировано для:
IHC
WB
Валидация Affinity DF8349 - 20202
Валидация Affinity DF8349 - 20202
Western blot analysis SETD7 using Jurkat whole cell lysates.
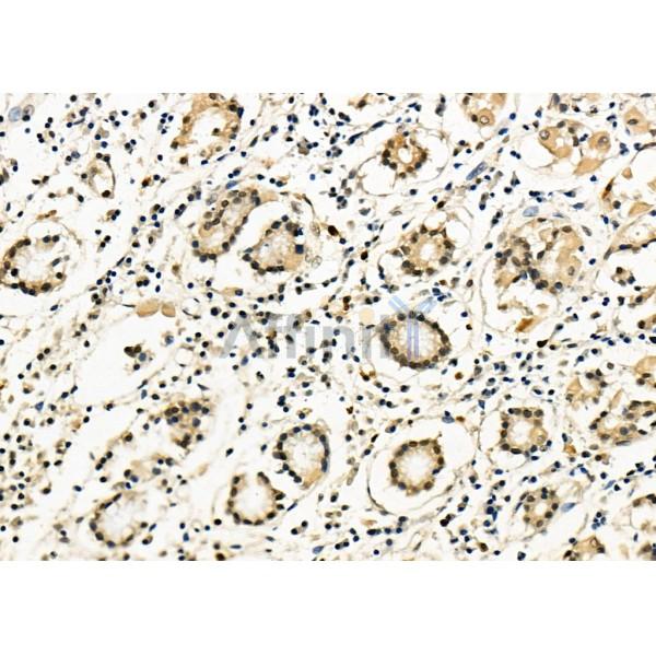
Валидация Affinity DF8349 - 20203
Валидация Affinity DF8349 - 20203
DF8349 at 1/100 staining Human colorectal cancer and para-carcinoma tissue by IHC-P. The sample was formaldehyde fixed and a heat mediated antigen retrieval step in citrate buffer was performed. The sample was then blocked and incubated with the primary antibody at 4ºС overnight. An HRP conjugated anti-Rabbit antibody was used as the secondary antibody.
Валидация Affinity DF8349 - 20202
Валидация Affinity DF8349 - 20203
Ближайшая поставка
29.05.26
Характеристики
Техническое описание
Каталожный номер DF8349
Название антигена SET Domain Containing Protein 7 (SETD7)
UNIPROT Q8WTS6
Иммуноген Синтетический пептид, соответствующий human SETD7 во внутренней части белка
Английские синонимы SET7, SET7/9, Set9, KMT7, Lysine N-methyltransferase 7, Histone H3-K4 methyltransferase SETD7, Histone-lysine N-methyltransferase SETD7
Реактивность подтвержденная
Нужна другая реактивность?
человек, мышь
Реактивность предсказываемая свинья, рыба, корова, лошадь, овца, кролик, собака, лягушка
Источник (хозяин) кролик
Изотип IgG
Клональность поликлональное
Рекомбинантное нет
Готовое к использованию нет
Концентрация 1 мг/мл
Конъюгат нет
Валидировано для
IHC
WB
Иммуногистохимия; Вестерн-блоттинг
Рекомендуемые разведения WB: 1:1000-3000; IHC: 1:50-1:200; Оптимальное разведение определяется конечным потребителем
Метод очистки Антисыворотку очищали методом аффинной хроматографии пептидов с использованием связывающей смолы SulfoLink® (Thermo Fisher Scientific)
Состав буфера Rabbit IgG в PBS; pH 7.4; 150mM NaCl; 0.02% азид натрия и 50% глицерин
RRID AB_2841614
Условия доставки Термобокс с аккумуляторами холода
Условия хранения Хранить при -20ºС. Стабилен 12 месяцев с даты получения
Срок хранения 12 месяцев
Производитель Affinity
Ссылка на страницу товара на сайте производителя https://www.affbiotech.com/goods-11882-DF8349-SETD7_Antibody.html

Назначение

поликлональное антитело от производителя Affinity к SET Domain Containing Protein 7 (SETD7) источник — кролик предназначено для детекции целевого антигена в биологических образцах. Продукт характеризуется подтвержденной реактивностью к человек, мышь.

Преимущества

  • Высокая специфичность и аффинность
  • Концентрация: 1 мг/мл
  • Оптимизированный состав буфера: Rabbit IgG в PBS; pH 7.4; 150mM NaCl; 0.02% азид натрия и 50% глицерин
  • Стабильность: 12 месяцев

Применение в исследованиях

Антитело валидировано для методов: IHC, WB. Подходит для научных исследований в области иммунологии, клеточной биологии и молекулярной диагностики.

Условия хранения

Срок годности: 12 месяцев. Хранить при -20ºС. Стабилен 12 месяцев с даты получения. Рекомендуется соблюдать температурный режим при транспортировке и хранении.
UNIPROT Q8WTS6
Иммуноген Синтетический пептид, соответствующий human SETD7 во внутренней части белка
Артикул
Наименование
Производитель
Артикул
Наименование
Производитель

С нами успешно сотрудничают:

Московский государственный университет им. Ломоносова
Московский государственный университет им. Ломоносова
Московский государственный университет им. Ломоносова
МФТИ
МФТИ
МФТИ
Центр вирусологии и биотехнологии „Вектор“
Центр вирусологии и биотехнологии „Вектор“
Центр вирусологии и биотехнологии „Вектор“
Институт физиологии имени Павлова
Институт физиологии имени Павлова
Институт физиологии имени Павлова
Сеченовский университет
Сеченовский университет
Сеченовский университет
Исследовательский центр им. Алмазова
Исследовательский центр им. Алмазова
Исследовательский центр им. Алмазова
BIOCAD
BIOCAD
BIOCAD
Университет Сириус
Университет Сириус
Университет Сириус
Р-Фарм
Р-Фарм
Р-Фарм
Сколтех
Сколтех
Сколтех
Курчатовский институт
Курчатовский институт
Курчатовский институт
ИБХ РАН
ИБХ РАН
ИБХ РАН
НИЦ эпидемиологии и микробиологии им. Н.Ф.Гамалеи
НИЦ эпидемиологии и микробиологии им. Н.Ф.Гамалеи
НИЦ эпидемиологии и микробиологии им. Н.Ф.Гамалеи
Томский НИМЦ
Томский НИМЦ
Томский НИМЦ
ФИЦ ВИЖ имени Л.К. Эрнста
ФИЦ ВИЖ имени Л.К. Эрнста
ФИЦ ВИЖ имени Л.К. Эрнста
Фонд "Наука - Детям"
Фонд "Наука - Детям"
Фонд "Наука - Детям"
Институт цитологии и генетики СО РАН
Институт цитологии и генетики СО РАН
Институт цитологии и генетики СО РАН
Генериум
Генериум
Генериум

Новости

0
0
0