| UNIPROT | Q13596 |
| Иммуноген | Синтетический пептид, соответствующий human SNX1 |
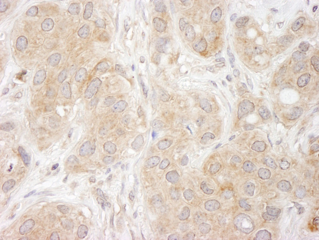
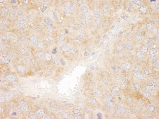
SNX1 Recombinant Rabbit mAb (ARM2202)
Реактивность подтвержденная:
человек, мышь, крыса
Источник (хозяин):
кролик
Валидировано для:
FCM
IHC
WB
IF
ICC
Характеристики
Техническое описание
| Каталожный номер | ARM2202 |
| Название антигена | Sorting Nexin 1 (SNX1) |
| UNIPROT | Q13596 |
| Иммуноген | Синтетический пептид, соответствующий human SNX1 |
| Английские синонимы | SNX1A, Vps5 |
Реактивность подтвержденная Нужна другая реактивность? |
человек, мышь, крыса |
| Источник (хозяин) | кролик |
| Изотип | IgG |
| Клональность | моноклональное |
| Рекомбинантное | да |
| Готовое к использованию | нет |
| Концентрация | 1 мг/мл |
| Конъюгат | По запросу: HRP, biotin, Cy3, Cy5, APC, AF488, AF594, AF405 |
| Валидировано для | FCM IHC WB IF ICC Проточная цитометрия; Иммуногистохимия; Вестерн-блоттинг; Иммунофлуоресценция; Иммуноцитохимия |
| Рекомендуемые разведения | WB 1:500~1:2000; IHC 1:50~1:200; IF/ICC 1:50~1:200; FCM 1:50 |
| Метод очистки | Антигенспецифическая аффинная хроматография |
| Состав буфера | 50 нмоль Tris-Glycine(pH 7.4); 0.15M NaCl; 40% глицерин; 0.01% азид натрия и 0.05% БСА |
| Условия доставки | термобокс с аккумуляторами холода |
| Условия хранения | Сразу после получения аликвотировать и хранить при -20ºС до 12 месяцев с момента получения. Избегать повторения циклов замерзания/оттаивания |
| Срок хранения | 12 месяцев |
| Производитель | AssayVector |
|
Артикул
|
Наименование |
Производитель
|
|---|
|
Артикул
|
Наименование |
Производитель
|
|---|
Акции и предложения
Популярные продукты:
GluR2 Antibody (AF6668)
Источник (хозяин): кролик
Реактивность подтвержденная: человек, мышь, крыса
Валидировано для: IF, ICC
Реактивность подтвержденная: человек, мышь, крыса
Валидировано для: IF, ICC
Canine Beta-Carotene ELISA Kit (E08B1086)
Организм: собака
Monkey Ankyrin repeat domain containing protein 1 ELISA kit (E09A0077)
Организм: обезьяна
Bovine Proteasome subunit β type 7(PSMB7) ELISA kit (E11P0872)
Организм: корова
Porcine Cysteine rich protein 2(CRIP2) ELISA kit (E07C2060)
Организм: свинья
Chicken Glucagon Like Peptide 2 ELISA kit (E12G0032)
Организм: курица

