| UNIPROT | P48431 |
| Иммуноген | Очищенный фрагмент рекомбинантного белка human SOX2 экспрессированный в E. Coli |
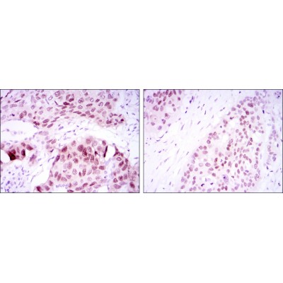
SOX2 Antibody (BF0481)
Реактивность подтвержденная:
человек
Источник (хозяин):
мышь
Валидировано для:
ELISA
IHC
WB
IF
ICC
Характеристики
Техническое описание
| Каталожный номер | BF0481 |
| Название антигена | Sex Determining Region Y Box Protein 2 (SOX2) |
| UNIPROT | P48431 |
| Иммуноген | Очищенный фрагмент рекомбинантного белка human SOX2 экспрессированный в E. Coli |
| Английские синонимы | ANOP3, MCOPS3, SRY-Box 2, Transcription factor SOX-2 |
Реактивность подтвержденная Нужна другая реактивность? |
человек |
| Источник (хозяин) | мышь |
| Изотип | IgG1 |
| Клональность | моноклональное |
| Клон | AFB1478 |
| Рекомбинантное | нет |
| Готовое к использованию | нет |
| Концентрация | 1 мг/мл |
| Конъюгат | нет |
| Валидировано для | ELISA IHC WB IF ICC Иммуноферментный анализ; Иммуногистохимия; Вестерн-блоттинг; Иммунофлуоресценция; Иммуноцитохимия |
| Рекомендуемые разведения | ELISA: 1:10000; WB: 1:500-1:2000; IHC: 1:200; IF: 1:200; Оптимальное разведение определяется конечным потребителем |
| Метод очистки | Аффинная хроматография |
| Состав буфера | Mouse IgG1 в PBS (без Mg2+ и Ca2+); pH 7.4; 150mM NaCl; 0.02% азид натрия и 50% глицерин |
| RRID | AB_2833503 |
| Условия доставки | Термобокс с аккумуляторами холода |
| Условия хранения | Хранить при -20ºС. Стабилен 12 месяцев с даты получения |
| Срок хранения | 12 месяцев |
| Производитель | Affinity |
| Ссылка на страницу товара на сайте производителя | https://www.affbiotech.com/goods-244-BF0481-SOX2_Antibody.html |
|
Артикул
|
Наименование |
Производитель
|
|---|
|
Артикул
|
Наименование |
Производитель
|
|---|
|
Артикул
|
Наименование |
Производитель
|
|---|
|
Артикул
|
Наименование |
Производитель
|
|---|
|
Артикул
|
Наименование |
Производитель
|
|---|
|
Артикул
|
Наименование |
Производитель
|
|---|
|
Артикул
|
Наименование |
Производитель
|
|---|
Акции и предложения
Популярные продукты:
Human Jagged 1 Protein ELISA kit (E01J0006)
Организм: человек
SOX-2 Polyclonal Antibody (E-AB-70108)
Источник (хозяин): кролик
Реактивность подтвержденная: мышь, крыса
Валидировано для: IHC
Реактивность подтвержденная: мышь, крыса
Валидировано для: IHC
NAGK Polyclonal Antibody (E-AB-53155)
Источник (хозяин): кролик
Реактивность подтвержденная: человек, мышь, крыса
Валидировано для: IHC
Реактивность подтвержденная: человек, мышь, крыса
Валидировано для: IHC
BCL2L2 Antibody (DF3607)
Источник (хозяин): кролик
Реактивность подтвержденная: человек, мышь, крыса
Валидировано для: WB, IF, ICC
Реактивность подтвержденная: человек, мышь, крыса
Валидировано для: WB, IF, ICC
FAIM1 Antibody (DF2492)
Источник (хозяин): кролик
Реактивность подтвержденная: человек, мышь
Валидировано для: IHC, WB, IF, ICC
Реактивность подтвержденная: человек, мышь
Валидировано для: IHC, WB, IF, ICC
SOX2 Antibody (BF0481)
Источник (хозяин): мышь
Реактивность подтвержденная: человек
Валидировано для: ELISA, IHC, WB, IF, ICC
Реактивность подтвержденная: человек
Валидировано для: ELISA, IHC, WB, IF, ICC

