| UNIPROT | P20813 |
| Иммуноген | Синтетический пептид, соответствующий human Cytochrome P450 2B6 во внутренней части белка |
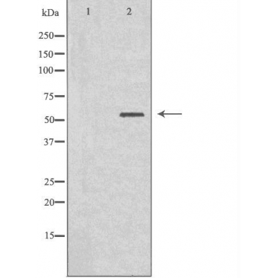
Cytochrome P450 2B6 Antibody (DF3574)
Реактивность подтвержденная:
человек
Источник (хозяин):
кролик
Валидировано для:
WB
IF
ICC
Характеристики
Техническое описание
| Каталожный номер | DF3574 |
| Название антигена | Cytochrome P450 2B6 (CYP2B6) |
| UNIPROT | P20813 |
| Иммуноген | Синтетический пептид, соответствующий human Cytochrome P450 2B6 во внутренней части белка |
| Английские синонимы | CYP2B, CPB6, CYPIIB6, Cytochrome P450,Subfamily IIB(Phenobarbital-Inducible)Polypeptide 6, 1,4-cineole 2-exo-monooxygenase, Cytochrome P450 IIB1 |
Реактивность подтвержденная Нужна другая реактивность? |
человек |
| Реактивность предсказываемая | корова |
| Источник (хозяин) | кролик |
| Изотип | IgG |
| Клональность | поликлональное |
| Рекомбинантное | нет |
| Готовое к использованию | нет |
| Концентрация | 1 мг/мл |
| Конъюгат | нет |
| Валидировано для | WB IF ICC Вестерн-блоттинг; Иммунофлуоресценция; Иммуноцитохимия |
| Рекомендуемые разведения | WB: 1:500-1:1000; IF/ICC: 1:100-1:500; Оптимальное разведение определяется конечным потребителем |
| Метод очистки | Антисыворотку очищали методом аффинной хроматографии пептидов с использованием связывающей смолы SulfoLink® (Thermo Fisher Scientific) |
| Состав буфера | Rabbit IgG в PBS; pH 7.4; 150mM NaCl; 0.02% азид натрия и 50% глицерин |
| RRID | AB_2835946 |
| Условия доставки | Термобокс с аккумуляторами холода |
| Условия хранения | Хранить при -20ºС. Стабилен 12 месяцев с даты получения |
| Срок хранения | 12 месяцев |
| Производитель | Affinity |
| Ссылка на страницу товара на сайте производителя | https://www.affbiotech.com/goods-2721-DF3574-Cytochrome_P450_2B6_Antibody.html |
|
Артикул
|
Наименование |
Производитель
|
|---|
|
Артикул
|
Наименование |
Производитель
|
|---|
|
Артикул
|
Наименование |
Производитель
|
|---|
|
Артикул
|
Наименование |
Производитель
|
|---|
Акции и предложения
Популярные продукты:
ELISA Kit DIY Materials for Troponin C Type 1, Slow (TNNC1) (KSD227Hu01)
Организм: человек
Диапазон определения: 62.50-4000 пг/мл
Чувствительность: 27.3 пг/мл
Диапазон определения: 62.50-4000 пг/мл
Чувствительность: 27.3 пг/мл
Bovine Glutamate carboxypeptidase 2(FOLH1) ELISA kit (E11G0408)
Организм: корова
Monkey Glutamate carboxypeptidase 2(FOLH1) ELISA kit (E09G0408)
Организм: обезьяна
Диапазон определения: 5-100 нг/мл
Чувствительность: 1 нг/мл
Диапазон определения: 5-100 нг/мл
Чувствительность: 1 нг/мл
Mouse Extracellular Matrix Protein 1 ELISA kit (E03E0039)
Организм: мышь
Anti-DENV-2 Envelope protein E/EDE1 Antibody (C10) (RVV19921)
Источник (хозяин): человек
Реактивность подтвержденная: вирусы
Валидировано для: ELISA, WB
Реактивность подтвержденная: вирусы
Валидировано для: ELISA, WB

